250 Besucher beim Knie-Arthrose-Tag – von Diagnose bis Gelenkersatz
250 Besucher informierten sich über moderne Therapien bei Knie-Arthrose
Die Veranstaltung des KnorpelKompetenzNetzwerks Bonn in Kooperation mit dem Gemeinschaftskrankenhaus Bonn war ein voller Erfolg: Rund 250 Interessierte nutzten die Gelegenheit, sich umfassend über aktuelle Behandlungsmöglichkeiten bei Knie-Arthrose zu informieren.
Acht medizinische Fachexpertinnen und -Experten beleuchteten das Thema aus unterschiedlichen Perspektiven.
Was ist eigentlich Arthrose?
Was ist Arthrose, wie entsteht sie und welche typischen Beschwerden treten auf? Dr. Malte Gaumert erklärte anschaulich, warum Knorpelverschleiß Schmerzen verursacht und welche Faktoren das Risiko erhöhen. Dazu zählen unter anderem Übergewicht, Traumata, zu wenig Bewegung und angeborene Fehlstellungen. Die Genetik spielt hingegen nur eine sehr untergeordnete Rolle.
Wie hilft Physiotherapie?
Anschließend zeigte Julia Alexanov (Leiterin der Therapeutischen Dienste am Gemeinschaftskrankenhaus Bonn), wie Physiotherapie die Beweglichkeit verbessert und Schmerzen lindert – und warum regelmäßige Bewegung unverzichtbar ist. Neben der klassischen physiotherapeutischen Behandlung sind folgende regelmäßige Übungen und Trainingsansätze wichtig:
- Kräftigungsübungen (Bein- und Hüftmuskulatur, Quadrizeps, Gesäßmuskulatur, Beinachsentraining)
- Mobilisation (mit gezielten Übungen die Beweglichkeit fördern)
- Koordinations- und Stabilisationsübungen
- Moderate Bewegung und Aktivität (Aquajogging, Walking, Radfahren, Slow Jogging)
Injektionstherapie ins Kniegelenk – Schaden oder Nutzen?
Leon Ruppert stellte ausführlich die Vor- und Nachteile verschiedener Injektionstherapien vor, darunter Hyaluronsäure, Kortison, Stammzellentherapie und Eigenblutbehandlung. Besonders interessant waren die Unterschiede zwischen den Hyaluronsäure-Präparaten – von niedermolekular bis vernetzt – sowie deren jeweilige Wirkungsdauer und Kosten.
Details zu Hyaluronsäure-Präparaten:
- Niedermolekulare Hyaluronsäure:
- Vorteile: Gute Verteilung im Gelenk, einfache Injektion.
- Nachteile: Kürzere Wirkdauer, oft mehrere Sitzungen nötig.
- Hochmolekulare Hyaluronsäure:
- Vorteile: Längere Wirkdauer, bessere Schmierung des Gelenks.
- Nachteile: Höhere Kosten, mögliche lokale Reaktionen.
- Vernetzte Hyaluronsäure (Cross-linked):
- Vorteile: Sehr lange Wirkdauer, weniger Injektionen erforderlich.
- Nachteile: Teuer, Risiko von Schwellungen nach der Injektion.
- Kombination mit Zusatzstoffen (z. B. Mannitol):
- Vorteile: Zusätzliche antioxidative Wirkung, bessere Stabilität.
- Nachteile: Weniger Langzeiterfahrung, höhere Kosten.
Fazit:
Hyaluronsäure kann bei geringen Arthrosegraden für einen gewissen Zeitraum hilfreich sein. Eine klare Empfehlung gibt es in den Leitlinien zur Gonarthrose jedoch nicht, da die Studienlage uneinheitlich ist.
Kortison lindert nachweislich Schmerzen und wird als einzige Therapie von den gesetzlichen Krankenkassen übernommen. Allerdings darf die Anwendung nicht zu häufig erfolgen, da der Knochen geschädigt werden kann.
Alle übrigen genannten Injektionstherapien sind Selbstzahlerleistungen. Die Kosten reichen von einigen hundert Euro bis zu mehreren tausend Euro bei der Stammzellentherapie – deren Studienlage besonders dünn ist.
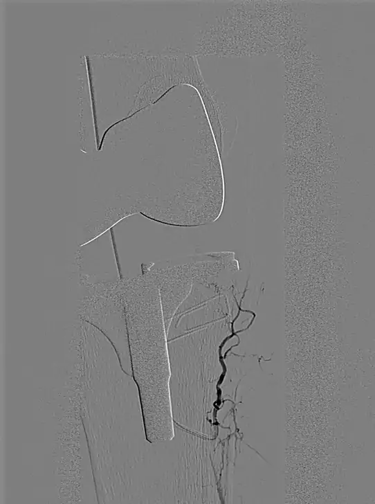
Neuer Hoffnungsschimmer Tape Therapie: Was ist das, wie funktioniert das?
Innovativ ging es weiter mit Dr. Guido Zintl (Oberarzt der Radiologie am GK-Bonn). Er stellte die noch relativ junge operative TAPE-Therapie als neue Hoffnung für Arthrose-Patient:innen vor.
Bei Kniearthrose führen chronische Fehlbelastungen und Entzündungsreize häufig dazu, dass sich im Gelenk zusätzliche feine Blutgefäße und krankhafte Nervenfasern entwickeln, die Schmerzreize ans Gehirn übermitteln. Betroffene sprechen oft schlecht oder gar nicht auf Medikamente an, sodass diese nur begrenzt Linderung bringen.


Das schonende TAPE-Verfahren (Abkürzung für transarterielle periartikuläre Embolisation) bietet hier Hilfe: Durch den vorübergehenden Verschluss der überzähligen Gefäße werden Nervenschmerzen stark vermindert oder sogar gestoppt. Die gesetzlichen Krankenkassen übernehmen bei passender Indikation die Kosten für diese schonende Operation mittels Mikrokatheter.
Operative Verfahren
Umstellungsosteotomien
Nach der Mittagspause standen im zweiten Teil der Veranstaltung operative Verfahren im Fokus.
Dr. Rüdiger Klein (Leitender Arzt am GK-Bonn) erläuterte die Umstellungsosteotomie zur Achskorrektur. Eine Umstellungsosteotomie ist eine gelenkerhaltende Operation am Knie, bei der die Beinachse korrigiert wird, um Fehlbelastungen zu beseitigen. Dabei wird der Knochen am Schienbeinkopf durchtrennt, umgeklappt und anschließend mit einer Platte stabilisiert. Ziel ist es, den Druck auf den gesunden Teil des Gelenks zu verlagern und den verschlissenen Bereich zu entlasten.
Bei korrekter Indikation ist dies eine gute Option, um Schmerzen zu reduzieren, das Fortschreiten der Arthrose zu verzögern oder eine endgültige Prothese hinauszuschieben – oder sogar zu vermeiden.
Es ist jedoch mit einer mindestens dreimonatigen Heilungsphase unter Teilbelastung zu rechnen.
Knorpelersatzoperationen
Dr. Jochen Müller-Stromberg (Chefarzt GK-Bonn) stellte ausführlich die modernen Knorpelersatztechniken mit den jeweiligen Indikationen vor. Je nach Knorpelschaden oder Knorpeldefekt (Größe, Beschaffenheit) kommen heute mehrere anerkannte Verfahren zum Einsatz.
Aktuell sind dies:
- Mikrofrakturierung: Dabei werden feine Löcher in den Knochen unter dem Knorpeldefekt gebohrt. Dadurch wandern Stammzellen aus dem Knochenmark in den Bereich und bilden einen Ersatzknorpel, der allerdings meist aus weniger belastbarem Faserknorpel besteht.
- OATS (Osteochondrale Autologe Transplantation): Bei diesem Verfahren werden körpereigene Knorpel-Knochen-Zylinder von einer weniger belasteten Stelle auf die betroffene Stelle transplantiert.
- AMIC (Autologe Matrixinduzierte Chondrogenese): Hier wird ein spezielles biologisches Material, wie ein Kollagen-Gel, in den Defekt eingebracht. Die körpereigenen Zellen werden angeregt, sich zu vermehren und den Knorpel aufzufüllen.
- ACT (Autologe Chondrozytentransplantation): Bei diesem mehrstufigen Verfahren werden zunächst körpereigene Knorpelzellen entnommen, im Labor vermehrt und anschließend in den Defekt implantiert. Es gibt auch einzeitige Varianten wie Minced Cartilage.
Auf die ausführliche Erläuterung der jeweiligen Verfahren wird hier verzichtet, da diese teils sehr komplex sind. Wer sich in diese Verfahren detailliert einlesen möchte, findet eine umfangreiche Ausarbeitung des „AGA-Knie-Knorpel-Meniskus-Komitees“.
Alternativ kann direkt Kontakt zu Dr. Jochen Müller-Stromberg am GK-Bonn aufgenommen werden.
Moderner Gelenkersatz am Knie
Wer unter dieser Überschrift neue revolutionäre Verfahren erwartet hatte, wurde auf charmante Weise von Dr. Holger Haas (Chefarzt GK-Bonn) auf den Boden der aktuellen Tatsachen zurückgeholt. Er hatte die KI „Perplexity“ gefragt, was man unter einem modernen Gelenkersatz am Knie versteht.
Anhand der Antworten und immer tiefer gehender medizinischer Nachfragen (wie etwa zur Evidenz und Studienlage), gepaart mit seinem großen Erfahrungsschatz, konnte er eindrucksvoll darlegen, dass es keine wirklich neuen Verfahren gibt, die das Ergebnis eines Gelenkersatzes nachweislich und evidenzbasiert verbessern – allen Individualprothesen und Roboter-Assistenz-Systemen zum Trotz. Es kommt nach wie vor auf folgende wesentliche Punkte an:
- Erfahrung des Operateurs und der Klinik
- Einsatz von lange am Markt befindlichen und bewährten Implantaten
- Intensive Mitarbeit der Patienten
Dr. Holger Haas entließ das erstaunte Publikum mit dem eindringlichen Hinweis, nicht alles zu glauben, was von Kliniken, Ärzten und Herstellern in Bezug auf Innovationen vorgestellt und vermarktet wird.
Sport mit künstlichem Knie-Gelenk: Was ist möglich?
Der letzte Programmpunkt hatte vor allem das Ziel, die Anwesenden zu motivieren und ihnen die Angst zu nehmen, dass mit einem Gelenkersatz das sportliche Leben vorbei sei.
Ganz im Gegenteil: Durch meine eigene Erfahrung mit drei Gelenkoperationen konnte ich authentisch darlegen, was mit Gelenkersatz sportlich alles möglich ist – ohne die Betroffenen aus der Eigenverantwortung zu entlassen. Nur wer eine Gelenkersatz-OP als persönliches Jahresprojekt betrachtet, um
- sich optimal vorzubereiten,
- sich intensiv und umfassend zu informieren,
- ein renommiertes Endoprothetikzentrum der Maximalversorgung auszuwählen,
- sich nach der OP mit Geduld, Hartnäckigkeit, Training unter Anleitung und ausreichend Ruhepausen fit zu machen,
wird am Ende mit Sportfähigkeit und Schmerzfreiheit belohnt.
Durchweg positive Resonanz und aktive Beteiligung
Die Resonanz dieser Info-Veranstaltung war durchweg positiv: Viele Besucher nutzten die Gelegenheit, Fragen zu stellen und sich individuell beraten zu lassen. Die Veranstaltung zeigte eindrucksvoll, wie vielfältig die Möglichkeiten sind, Kniearthrose zu behandeln – von konservativen Ansätzen bis hin zu Hightech-Operationen.
2026 wird erneut ein Patiententag stattfinden, ggf. als hybride Veranstaltung, damit Interessierte von überall aus teilnehmen können.





1 Antwort
[…] Ort präsent: Aktive Teilnahme am Patienten-(Knie)-Tag in Bonn im November unter Federführung des Gemeinschaftskrankenhauses […]